Dental lasers address a variety of issues — everything from teeth whitening to treating gum disease and canker sores and surgically reshaping your gums, making them handy and versatile tools for dentists.
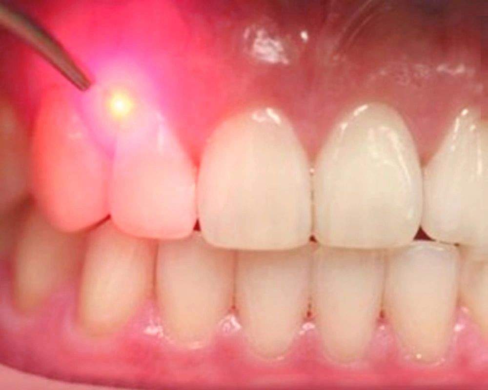
Not surprisingly, there are a variety of dental lasers for different applications. We use a hand-held diode laser to treat soft tissue dental conditions and to perform restorative dental work. The ability to precisely target the laser to address only the diseased or affected area keeps the healthy tissue intact and unaffected, making this laser dentistry tool a win-win for both the patient and the dentist.
When it comes to periodontal disease and gingivitis, keeping the condition from progressing to the point of losing teeth is the No. 1 goal. Typically scaling to remove plaque from the pockets and root planing to remove plaque from the roots of teeth are the go-to treatments for gum disease.
In severe cases, dental surgery is needed. Some dental practices do this surgery with a scalpel or an electrosurgery device using high-frequency waveforms or currents. But when you use a dental laser as your tool of choice, you not only address the specific issue, but you also get nice added benefits: the reduction of bacteria and toxins and quicker healing time.
Surgery is something you don’t want to hear next to the word “dental.” Dental surgery sounds both scary and painful. The good news is that if your dentist uses a diode laser, the whole process is less invasive than traditional dental surgery. That translates into less of a need for local anesthesia for everything like filling a cavity to cutting into your gum to reach an impacted wisdom tooth.
When you need any type of dental work done, the last thing you want is an uncomfortable procedure and a prolonged, painful recovery time. One of the major benefits of using lasers in the practice of dentistry is that they cause less swelling and bleeding, which mean you heal faster. Using a laser as a cutting tool enables us to cut and coagulate your treatment area at the same time, which prevents excessive bleeding. Sometimes less is really more.

OC Dentistry & Cosmetics
8201 Newman Ave, Ste 302 Huntington Beach, CA 92647 US
Copyright © 2020 OC Dentistry and Cosmetics - All Rights Reserved.
Powered by NUBRAND
We use cookies to analyze website traffic and optimize your website experience. By accepting our use of cookies, your data will be aggregated with all other user data.