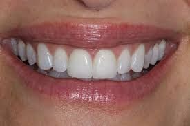
This procedure involves shaping and molding composite resin onto your teeth to give them a straighter and whiter appearance. It’s not a procedure that improves a crooked bite, but it enhances the look of generally healthy, straight teeth.
Cosmetic bonding can quickly resolve numerous aesthetic oral issues. These include:
Composite bonding enhances your smile in one visit, while other procedures, such as porcelain veneers, can sometimes take two or more visits. There’s no need to send an imprint or image of your mouth off to a laboratory for fabrication of crowns or veneers. Dental bonding is also relatively inexpensive compared to other cosmetic procedures. Very little of your existing enamel is removed to apply the bonding, and anesthesia is often not required.
During dental bonding, we apply a tooth-colored, putty-like resin to your teeth. It’s shaped to repair any cracks or chips and hide other imperfections and irregularities. The doctor customizes the color of the resin to match your natural teeth or whiten it slightly to add brightness to your smile. The doctor also uses a special light to harden the putty; then it’s shaped and polished to reveal a sparkling smile.
Care for bonded teeth just as you do for your natural teeth. Brush at least two times a day, floss once daily, and keep up with regular professional cleanings and checkups. You don’t have to follow any other special care procedures. When you want a fast, impressive change in the look of your smile, call the office of OC Dentistry & Cosmetics to discuss composite bonding.

OC Dentistry & Cosmetics
8201 Newman Ave, Ste 302 Huntington Beach, CA 92647 US
Copyright © 2020 OC Dentistry and Cosmetics - All Rights Reserved.
Powered by NUBRAND
We use cookies to analyze website traffic and optimize your website experience. By accepting our use of cookies, your data will be aggregated with all other user data.